아산재건정형외과의원
"무릎 수술, 최대한 늦추십시오."
'잘 넣는 것'보다 중요한 것은 '어떻게 관리하느냐'입니다.
인공관절 수술의 성패는 단순한 삽입이 아니라, 얼마나 정확하게 정렬을 맞추고
주변 조직을 보존하느냐에 달려 있습니다. EBS ‘명의’ 조우신 교수의 수술 철학과
아산재건만의 원천기술이 만나, 당신의 남은 30년 보행을 설계합니다.
ASAN'S PRIDE - TOTAL & PARTIAL REPLACEMENT

ASAN RECONSTRUCTIVE ORTHOPAEDICS
명의의 철학
인공관절 수술은 인생의 마지막 수단이어야 합니다.
아산재건정형외과는 단순히 수술 건수를 채우는 병원이 아닙니다.
서울아산병원에서 수만 명의 환자를 직접 집도한
인공관절의 대가 조우신 교수와 그 제자들이 가장 먼저
고민하는 것은 "환자의 소중한 자기 관절을 단 1년이라도 더 건강하게 쓰게 하는 것"입니다.
그럼에도 불구하고 수술이 꼭 필요한 순간이 온다면, 그때는 '누구에게, 어떤 철학으로' 받느냐가 중요합니다.
ASAN RECONSTRUCTIVE ORTHOPAEDICS
첨단 GPS 시스템으로 미세 오차를 잡아 20년 이상 가는 편안함을 구현합니다.
울렁거림 없이 통증 신경만 정밀 차단해 수술 직후에도 맑은 정신을 유지합니다.
억지로 꺾는 고통 없이, 무릎이 스스로 부드럽게 굽혀지는 회복을 목표합니다.
실밥 제거 없이 의료용 본드로 마감하여 흉터와 통증 걱정을 덜어드립니다.
"환자분들이 수술 전 가장 두려워하는
4가지(오차, 통증, 재활 고통, 흉터)를 해결했습니다."
이것이 아산재건이 전국에서 찾아오는 이유입니다.

ASAN RECONSTRUCTIVE ORTHOPAEDICS
"전체를 다 바꾸냐고요?
아니요, 살릴 수 있는 곳은 남겨야죠."
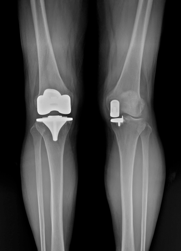
무릎 관절염이 진행되면 연골이 닳고, 뼈끼리 부딪히며 통증이 생깁니다. 이때 손상된 관절면을
인공관절로 바꿔 통증을 줄이고 보행 기능을 회복시키는 수술이 인공관절 치환술입니다.
하지만 인공관절 수술은 한 가지가 아닙니다. 손상 범위가 어디까지인지에 따라
‘전치환술’과 ‘반치환술’로 나뉘며, 아산재건은 이 구분을 가장 중요하게 봅니다.
내 무릎은 어느 쪽에 가까울까요?
아래는 환자분들이 자주 보이는 양상입니다.
최종 판단은 검사로 결정됩니다.
![]()
ASAN RECONSTRUCTIVE ORTHOPAEDICS
무조건적인 전체 수술은 권하지 않습니다.
살릴 수 있는 연골이 있다면 ‘반치환술’로
회복 부담을 낮추고, 변형이 심하다면 ‘전치환술’로 확실하게 교정합니다. 환자에게 가장 이득이 되는 방식을 명의의 눈으로 찾아냅니다.
ASAN RECONSTRUCTIVE ORTHOPAEDICS
무조건적인 전체 수술은 권하지 않습니다.
살릴 수 있는 연골이 있다면 ‘반치환술’로
회복 부담을 낮추고, 변형이 심하다면
‘전치환술’로 확실하게 교정합니다.
환자에게 가장 이득이 되는 방식을
명의의 눈으로 찾아냅니다.

ASAN RECONSTRUCTIVE ORTHOPAEDICS
말로만 하는 실력이 아닙니다
아산재건의 치료 철학과 수술 시스템을 영상으로 직접 확인하세요.
조우신·조훈식 원장 | 사제의 따뜻한 동행, 지역의료의 희망이 되다
인공관절 수술 자신 있습니다! (GPS 수술 및 특장점 소개)
퇴행성 관절염의 오해와 진실 (조훈식 원장의 명쾌한 설명)
아산재건정형외과가 약속하는 인공관절의 기준
명의 조우신 교수와 조훈식 대표원장이 끝까지 책임지는
아산재건정형외과
멀리 서울까지 가지 않아도 명의의 진료를 받으실 수 있습니다.
수술 전 진단부터 수술 후 재활까지,
당신의 무릎을 가장 잘 아는 의료진이 한 곳에서 끝까지 함께합니다.
"이제, 부모님의 걸음걸이에 안심을 더해드리세요."
ASAN RECONSTRUCTIVE ORTHOPAEDICS FAQ
낭만닥터 조훈식 원장님의 의학정보칼럼 게시판입니다.